Zahnentfernung
Es liegt uns viel daran, möglichst jeden Zahn zu erhalten. Dies hat höchste Priorität in unserer Praxis. Vor jeder anstehenden Zahnentfernung wird die Erhaltungsfähigkeit des Zahnes genauestens überprüft. Leider ist dies nicht immer möglich.
Zahnentfernungen können aus verschiedenen Gründen notwendig sein. Grundsätzlich lassen sich die Ursachen in zwei Gruppen einteilen:
- Ausgeprägte Schädigung des Zahns
- Massive Zerstörung des Zahnhalteapparates
Die häufigsten Gründe für Schädigungen eines Zahnes sind Karies oder Unfälle. Ist die Beschädigung der Zahnhartsubstanz so ausgeprägt, dass eine Versorgung des Zahnes durch eine Füllung oder künstliche Krone nicht mehr gelingt, dann kann der Zahn nicht mehr erhalten werden.
Die Schädigung des Zahnhalteapparates und der damit einhergehende Knochenverlust sind meist bakteriell bedingt. Bei einem stark fortgeschrittenen Knochenabbau lassen sich in den meisten Fällen Zähne nicht mehr erhalten.
Hier sieht man das Problem:

Unfall – Durch einen Unfall sind die rechten oberen Schneidezähne sowie der Eckzahn massiv beschädigt worden. Alle drei Zähne sind nicht erhaltungsfähig.

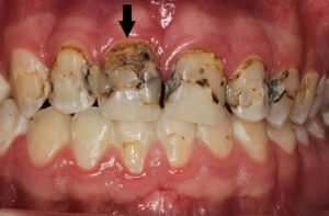
Karies – Durch Karies können Zähne so stark zerstört sein, dass diese nicht mehr mit einem Zahnersatz versorgt werden können. Auf dieser Abbildung war der rechte zentrale Schneidezahn (schwarzer Pfeil) nicht erhaltungsfähig. Die anderen kariösen Zähne konnten durch aufwändige Maßnahmen noch erhalten werden.

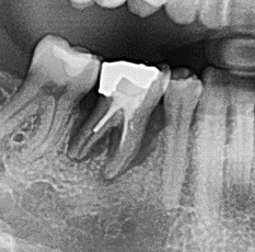
Zerstörter Zahnhalteapparat – Die erste Abbildung zeigt einen Backenzahn mit einem ausgeprägten Knocheneinbruch. In der zweiten Abbildung ist der Knochenverlauf zum besseren Verständnis noch einmal durch eine rote Linie dargestellt. Die grüne Linie stellt den normalen Knochenverlauf im gesunden Zustand dar. Die Fläche zwischen beiden Linien entspricht dem Knochenverlust. Ursache für dieses Problem ist eine bakterielle Entzündung, die sogenannte Parodontitis. Diese kann den Zahnhalteapparat zerstören und führt unbehandelt letztendlich zum Zahnverlust.
Wie erfolgt die Zahnentfernung?
Die Zahnentfernung erfolgt in aller Regel in Lokalanästhesie (Betäubung mit Spritze), selten ist eine Vollnarkose notwendig. In unserer Praxis wird sehr viel Wert auf ein minimalinvasives Vorgehen bei der Zahnentfernung gelegt. Dies beinhaltet den schonenden Umgang mit den Geweben. Durch dieses Vorgehen sind Schmerzen und Schwellungen nach dem Eingriff auf ein absolutes Minimum reduziert. Die Voraussetzungen für eine spätere Implantation sind dadurch optimal.
Was kommt auf Sie zu?
Von Ihrem Zahnarzt oder Kieferorthopäden angefertigte Röntgenbilder sollten Sie bitte zum Aufklärungsgespräch mitbringen. Diese dienen als Planungsgrundlage für den operativen Eingriff.
Der Eingriff erfolgt ambulant in unserer Praxis. Die Behandlung stellt einen Routineeingriff dar und kann sowohl in Lokalanästhesie (Betäubung mit Spritze), als Sedierung (Dämmerschlaf) und in Vollnarkose (in Zusammenarbeit mit unserem Narkoseteam) schonend durchgeführt werden. Der operative Eingriff erfolgt völlig schmerzfrei. Durch unser schonendes Vorgehen sind die Beschwerden nach der Zahnentfernung sehr gering. Mögliche Schmerzen nach dem Eingriff lassen sich durch Schmerzmittel sehr gut in den Griff bekommen.
Am Operationstag sollten Sie unbedingt von einer Begleitperson nach Hause gebracht werden. Gerne können Sie sich zum Eingriff einen Music-Player mitbringen; die meisten Patienten können sich mit ihrer vertrauten Musik entspannen.
Sie erhalten von uns nach der Operation ein Rezept für Schmerzmittel und bei Bedarf eine Arbeitsunfähigkeitsbescheinigung. Die Dauer der Arbeitsunfähigkeit richtet sich nach Umfang und Länge des Eingriffes. Sie sollten nach der Operation kühlen. Bitte halten Sie Kühlakkus und/oder kalte Umschläge bereit.
Die Nahtentfernung erfolgt im Normalfall nach sieben Tagen.
Wie kann man das Problem lösen?

Auf dem ersten Bild ist noch einmal die Ausgangsituation nach einem Unfall dargestellt, auf dem zweiten Bild sieht man die Situation einen Tag später. In einem Eingriff wurden die drei Zähne entfernt und gleichzeitig drei Implantate eingesetzt. Im Anschluss wurden Zähne aus einem Hochleistungskunststoff auf den Implantaten fest fixiert. Vier Monate später gliederte der Hauszahnarzt den definitiven Zahnersatz aus Keramik ein.
Unsere Praxis ist auf Oralchirurgie spezialisiert. In einem persönlichen Beratungsgespräch können wir gerne näher auf Ihre Fragen eingehen.
