Therapie von Zysten
Zysten sind Gewebssäckchen, die mit Flüssigkeit gefüllt sind. Im Mund-Kiefer-Bereich gibt es verschiedenste Ursachen für ihre Entstehung. Häufigster Auslöser sind entzündete Zähne, an deren Wurzelspitze sich durch einen Entzündungsreiz dann eine Zyste bildet. Zweithäufigste Ursache sind im Kiefer liegende Zähne, an deren Zahnkrone noch das Zahnsäckchens sitzt, das für die Zahnbildung erforderlich ist. In dem Gewebe des Zahnsäckchens kann sich eine Zyste ausbilden. Beim normalen Zahndurchbruch durch die Schleimhaut bildet sich das Zahnsäckchen zurück.
Eine weitere Ursache für eine Zystenbildung ist der Verschluss eines Speicheldrüsenausgangs. Durch anhaltende Speichelproduktion entsteht eine Zyste, die an Größe zunimmt. Während es sich bei den ersten beiden Zystenarten um Knochenzysten handelt, ist die zuletzt beschriebene eine Weichteilzyste.
Was kann die Folge sein?
Durch einen Druckanstieg im Inneren von Zysten kommt es in der Regel zu einem langsamen Wachstum der Zyste. Die Ausprägung hängt dabei stark von der Lage der Zyste ab. Bei Zysten im Kieferbereich kann es zu Verschiebung und Schädigung benachbarter Zähne kommen, die im schlimmsten Falle verloren gehen. In Extremfällen können große Zysten zur Schwächung des Kieferknochens führen, so dass dieser beim Kauen spontan bricht. Eine weitere Komplikation ist die Infektion vorhandener Zysten.
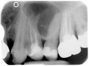
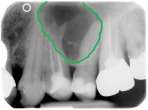
Hier sieht man das Problem:


Auf dem ersten Röntgenbild hat der zweite Zahn von links eine Wurzelfüllung. Trotz Wurzelbehandlung und -füllung weist dieser Zahn eine ausgeprägte Zyste auf. Zum besseren Verständnis ist diese auf der zweiten Abbildung grün umrandet. Durch das Zystenwachstum wurden die Wurzelspitzen des ursächlichen Zahnes und des Zahnes rechts davon auseinander gedrängt.
Wie wurde das Problem gelöst?


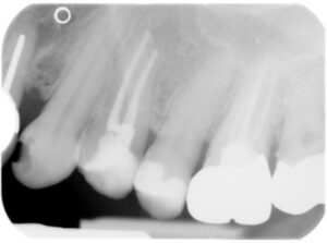
Im Rahmen einer Wurzelspitzenresektion hat man sich durch einen kleinen Schleimhautschnitt ein Zugang zur Zyste und der Wurzelspitze geschaffen. Die Zyste wurde entfernt, die Wurzelspitze gekappt und die Wurzelfüllung erneuert. Das erste Röntgenbild zeigt den Zustand direkt nach dem Eingriff. Ein Jahr später (zweites Bild) ist der durch das Zystenwachstum entstandene Knochendefekt wieder vollständig ausgeheilt. Darüber hinaus sind die Wurzelspitzen des ursächlichen Zahnes und des Zahnes rechts davon wieder annähernd parallel.
Was kommt auf Sie zu?
Von Ihrem Zahnarzt angefertigte Röntgenbilder sollten Sie bitte zum Beratungsgespräch mitbringen. Diese dienen als Planungsgrundlage für den operativen Eingriff.
Der Eingriff erfolgt ambulant in unserer Praxis. Die Behandlung stellt einen Routineeingriff dar und kann sowohl in Lokalanästhesie (Betäubung mit Spritze), als Sedierung (Dämmerschlaf) und in Vollnarkose (in Zusammenarbeit mit unserem Narkoseteam) schonend durchgeführt werden. Der operative Eingriff erfolgt völlig schmerzfrei. Mögliche Schmerzen nach dem Eingriff lassen sich durch Schmerzmittel sehr gut in den Griff bekommen.
Am Operationstag sollten Sie unbedingt von einer Begleitperson nach Hause gebracht werden. Gerne können Sie sich zum Eingriff einen Music-Player mitbringen; die meisten Patienten können sich mit ihrer vertrauten Musik entspannen.
Sie erhalten von uns nach der Operation ein Rezept für Schmerzmittel und bei Bedarf eine Arbeitsunfähigkeitsbescheinigung. Die Dauer der Arbeitsunfähigkeit richtet sich nach Umfang und Länge des Eingriffes. Sie sollten nach der Operation kühlen. Bitte halten Sie Kühlakkus und/oder kalte Umschläge bereit.
Die Nahtentfernung erfolgt im Normalfall nach sieben Tagen.
Unsere Praxis ist auf Oralchirurgie spezialisiert. In einem persönlichen Beratungsgespräch können wir gerne näher auf Ihre Fragen eingehen.
