Implantate
Zahn-Implantate werden in der Zahnmedizin für die Versorgung von Zahnlücken oder zahnlosen Kiefern verwendet. Sie sind heutzutage der Gold-Standard in der Zahnheilkunde zum Ersatz fehlender Zähne. Diese Therapiemethode ist vielseitig wissenschaftlich dokumentiert und hat sich als langfristig erfolgreiche Maßnahme mit hohem Kaukomfort erwiesen. Zahnärztliche Implantate sind bei fast jedem Patienten möglich. Auch ältere Menschen können ohne Probleme mit ihnen versorgt werden.
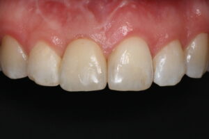
Wieder schöne Zähne

Niemand kann erkennen, dass einer der Zähne als Folge eines Unfalls verloren ging. Der rechte mittlere Schneidezahn ist kein natürlicher Zahn, sondern eine Keramikkrone, die auf einem Implantat fixiert ist. Die Krone wurde so gestaltet, dass sie für den Patienten als natürlicher Zahn empfunden wird – schön, stabil und belastbar.
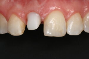
Hier sieht man das Problem:

Derselbe Patient wie im Bild oben – bevor die Krone befestigt wurde. Hier sieht man den Implantataufbau, das Verbindungsteil zwischen dem Implantat, das fest in den Knochen eingewachsen ist, und der Zahnkrone. Damit die Farbe der Krone natürlich wirkt, wurde ein Implantataufbau aus Keramik gewählt. Vorher war hier eine unschöne Zahnlücke, die den Patienten zwang, eine Prothese zu tragen.
So wurde das Problem gelöst:

Im Bereich der Zahnlücke wurde ein Implantat eingesetzt. Nach drei Monate war dieses fest im Kieferknochen eingewachsen. Anschließend wurde ein Implantataufbau in das Implantat eingeschraubt. Auf diesem wurde die Keramikkrone fest fixiert.
Unsere Praxis hat sich auf Implantate spezialisiert. In einem persönlichen Beratungsgespräch können wir gerne näher auf Ihre Fragen eingehen.
Jetzt Beratungstermin vereinbaren
Generelles Vorgehen

Diese Abbildung zeigt ein Implantat-Modell mit einer Implantat-Versorgung im Seitenzahnbereich. Implantologische Versorgungen bestehen grundsätzlich aus drei Komponenten. Das eigentliche Implantat (schwarzer Pfeil) ist eine Schraube aus reinem Titan. Sie ist die künstliche Zahnwurzel. Nach einer adäquaten Einheilzeit von ungefähr drei Monaten ist das Implantat fest im Knochen verankert. Anschließend wird in ihm der Implantataufbau (grüner Pfeil) verschraubt. Dieser dient wiederum als Verankerung für den Zahnersatz (blauer Pfeil). Der Zahnersatz ist der einzig sichtbare Teil der Implantatversorgung.
Für die Befestigung von Zahnersatz auf Implantaten gibt es grundsätzlich zwei Möglichkeiten: Eine festsitzende und eine herausnehmbare Versorgung. Beide Verfahren sind jahrzehntelang erprobt.
Implantate sind sinnvoll, wenn
- bei einer vorhandenen Lücke naturgesunde Nachbarzähne für eine klassische Brücke nicht abgeschliffen und dadurch nicht beschädigt werden sollen.
- bei Vorhandensein von intakten, kariesfreien Restaurationen, die nicht für einen neuen Zahnersatz entfernt werden sollen.
- aufgrund weniger eigener Restzähne ein herausnehmbarer Zahnersatz vermieden werden soll.
- vorhandene Voll- oder Teilprothesen unzureichenden Halt bieten und beim Kauen oder Sprechen Probleme bereiten.
Voraussetzungen für ein Implantat:
- Der Knochen sollte noch ausreichend breit sein.
Die gängige zweidimensionale Röntgentechnik kann Fragestellungen nach der Knochenbreite nicht klären. Unsere Praxis verfügt über die modernste strahlenarme 3D-Röntgentechnik (DVT). Dies ermöglicht es uns, den Kieferknochen dreidimensional zu beurteilen. Schon vor dem operativen Eingriff kann durch diese Röntgentechnik geklärt werden, ob eine Knochenverbreiterung notwendig ist. Sollte ein unzureichendes Knochenangebot vorliegen, können die Knochenverhältnisse optimiert werden. Unsere Praxis verfügt über innovative und schonende Techniken zur Knochenverbreiterung.
Knochenaufbau
Wenn zu wenig Knochen vorhanden ist, kann durch Knochenaufbau eine implantationsfähige Situation geschaffen werden. Es kann sowohl künstlicher als auch körpereigener Knochen verwendet werden. Je nach Indikation erfolgt dies zeitgleich mit der Implantation oder in einem zweiten Eingriff.
Unsere Praxis ist auf Implantologie spezialisiert. In einem persönlichen Beratungsgespräch können wir gerne näher auf Ihre Fragen eingehen.
