Periimplantitistherapie
Nicht nur die Zahnwurzel, sondern auch Implantatoberflächen können von Bakterien besiedelt werden. In der Folge kann ein Knochenabbau am Implantat, eine sogenannte Periimplantitis, eintreten. Daher ist eine gute Mundhygiene sowie eine regelmäßige Nachsorge mit Zahn- und Implantatreinigungen sehr wichtig – wir wollen, dass Ihre Implantate über Jahrzehnte in Funktion bleiben.
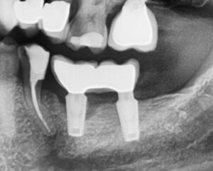
Hier sieht man das Problem:

Periimplantitis – Die erste Röntgenaufnahme zeigt eine Entzündung am vorderen Implantat. Auf dem zweiten Bild ist zum besseren Verständnis der Knochenverlauf durch eine rote Linie dargestellt. Die grüne Linie stellt den normalen Knochenverlauf im gesunden Zustand dar. Die Fläche zwischen beiden Linien entspricht dem Knochenverlust.
Sollte es dennoch zu derartigen Entzündungen kommen, bieten wir Ihnen selbstverständlich eine Therapie dieser Periimplantitis an. Diese ist der systematischen Parodontitistherapie in vielen Punkten ähnlich.
Was kommt auf Sie zu?
Von Ihrem Zahnarzt angefertigte Röntgenbilder sollten Sie bitte zum Beratungsgespräch mitbringen. Diese dienen als Planungsgrundlage für den operativen Eingriff.
Der Eingriff erfolgt ambulant in unserer Praxis. Die Behandlung stellt einen Routineeingriff dar und kann sowohl in Lokalanästhesie (Betäubung mit Spritze), als Sedierung (Dämmerschlaf) und in Vollnarkose (in Zusammenarbeit mit unserem Narkoseteam) schonend durchgeführt werden. Der operative Eingriff erfolgt völlig schmerzfrei. Mögliche Schmerzen nach dem Eingriff lassen sich durch Schmerzmittel sehr gut in den Griff bekommen.
Am Operationstag sollten Sie unbedingt von einer Begleitperson nach Hause gebracht werden. Gerne können Sie sich zum Eingriff einen Music-Player mitbringen; die meisten Patienten können sich mit ihrer vertrauten Musik entspannen.
Sie erhalten von uns nach der Operation ein Rezept für Schmerzmittel und bei Bedarf eine Arbeitsunfähigkeitsbescheinigung. Die Dauer der Arbeitsunfähigkeit richtet sich nach Umfang und Länge des Eingriffes. Sie sollten nach der Operation kühlen. Bitte halten Sie Kühlakkus und/oder kalte Umschläge bereit.
Die Nahtentfernung erfolgt im Normalfall nach sieben Tagen.
Unsere Praxis ist auf Oralchirurgie spezialisiert. In einem persönlichen Beratungsgespräch können wir gerne näher auf Ihre Fragen eingehen.
