Parodontitistherapie
Als Parodontitis (früher: Parodontose) bezeichnet man entzündliche Veränderungen des Zahnhalteapparates, die mit einem Knochenabbau einhergehen. Ursache sind die Bakterien der Mundhöhle. Als Folgen solcher Entzündungen kommt es zu anhaltendem Zahnfleischbluten und Zahnlockerungen.
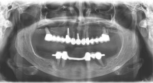
Hier sieht man das Problem:


Zerstörter Zahnhalteapparat – Das erste Röntgenbild zeigt die Situation eines Patienten mit schwerer Parodontitis. Die Zähne haben zum Teil keine knöcherne Verankerung. Auf der zweiten Abbildung ist zum besseren Verständnis der Knochenverlauf durch eine rote Linie dargestellt. Die grüne Linie stellt den normalen Knochenverlauf im gesunden Zustand dar. Die Fläche zwischen beiden Linien entspricht dem Knochenverlust.
Wie können wir Ihnen helfen?
Systematische Parodontitistherapie
Bei einer systematischen Parodontitistherapie werden alle Wurzeloberflächen ober- und unterhalb des Zahnfleisches gereinigt und desinfiziert. Dies erfolgt in der Regel als nicht-chirurgisches Vorgehen („geschlossen“) und in örtlicher Betäubung. In manchen Fällen sind ein Bakterientest und eine zielgerichtete Antibiotikatherapie unterstützend sinnvoll.
Eine Parodontitistherapie ist keine kurzzeitige Therapie. Essenziell für den Erfolg ist die regelmäßige Nachsorge mit erneuter Reinigung der Wurzeloberflächen. Wir entwickeln in Zusammenarbeit mit Ihrem Zahnarzt das für Sie ideale Therapiekonzept, um einen Langzeiterfolg sicherzustellen.
Parodontalchirurgie (inklusive Rezessionsdeckungen und regenerativer Maßnahmen)
Heute sind chirurgische Eingriffe in der Parodontologie zwar seltener geworden, in manchen Fällen sind sie jedoch immer noch unumgänglich. Dies betrifft zum Beispiel hartnäckige Entzündungen an wichtigen Zähnen, die durch eine systematische, nicht-chirurgische Parodontitistherapie nicht kontrolliert werden können.
Wenn die Entzündungszeichen langfristig unter Kontrolle sind, haben wir heute auch die Möglichkeit, verloren gegangenen Knochen am Zahn zum Teil wieder zu regenerieren. Hierfür ist eine individuelle Diagnostik und Beratung unumgänglich.
Oft schwindet mit dem Knochen auch das darüber liegende Zahnfleisch. Die Folge sind lange Zahnhälse, die für den Patienten als ästhetisch störend empfunden werden. Mit unseren minimalinvasiven Operationstechniken haben wir die Möglichkeit, solche freiliegenden Zahnwurzeln wieder abzudecken.
Was kommt auf Sie zu?
Von Ihrem Zahnarzt angefertigte Röntgenbilder sollten Sie bitte zum Beratungsgespräch mitbringen. Diese dienen als Planungsgrundlage für den operativen Eingriff.
Der Eingriff erfolgt ambulant in unserer Praxis. Die Behandlung stellt einen Routineeingriff dar und kann sowohl in Lokalanästhesie (Betäubung mit Spritze), als Sedierung (Dämmerschlaf) und in Vollnarkose (in Zusammenarbeit mit unserem Narkoseteam) schonend durchgeführt werden. Der operative Eingriff erfolgt völlig schmerzfrei. Mögliche Schmerzen nach dem Eingriff lassen sich durch Schmerzmittel sehr gut in den Griff bekommen.
Am Operationstag sollten Sie unbedingt von einer Begleitperson nach Hause gebracht werden. Gerne können Sie sich zum Eingriff einen Music-Player mitbringen; die meisten Patienten können sich mit ihrer vertrauten Musik entspannen.
Sie erhalten von uns nach der Operation ein Rezept für Schmerzmittel und bei Bedarf eine Arbeitsunfähigkeitsbescheinigung. Die Dauer der Arbeitsunfähigkeit richtet sich nach Umfang und Länge des Eingriffes. Sie sollten nach der Operation kühlen. Bitte halten Sie Kühlakkus und/oder kalte Umschläge bereit.
Die Nahtentfernung erfolgt im Normalfall nach sieben Tagen.
Unsere Praxis ist auf Oralchirurgie spezialisiert. In einem persönlichen Beratungsgespräch können wir gerne näher auf Ihre Fragen eingehen.
