Herausnehmbarer Zahnersatz
Versorgungsmöglichkeiten bei drohender oder vorhandener Zahnlosigkeit

Konventionelle Totalprothese – Bei vorliegender Zahnlosigkeit, wie in der ersten Abbildung dargestellt, ist die einfachste Versorgung eine Totalprothese (zweite Abbildung). Diese Versorgungsmöglichkeit ist die kostengünstigste des zahnlosen Kiefers. Allerdings bietet diese Art der Versorgung häufig einen unzureichenden Halt. Vor allem im Unterkiefer ist durch die geringere Auflagefläche ein zufriedenstellendes Ergebnis in vielen Fällen nicht zu gewährleisten. Ein Abbeißen mit den vorderen Zähnen ist außerdem in den meisten Fällen sowohl im Ober- als auch im Unterkiefer nicht möglich, da aus ästhetischen Gründen die Frontzähne vor dem Kieferkamm aufgestellt werden müssen und der Zahnersatz somit beim Kauen immer etwas kippt. Eine notwendige Gaumenbedeckung im Oberkiefer schränkt sowohl die Lautbildung als auch die Geschmacksempfindung ein. Nicht vermeidbare Fehlbelastungen können zu schmerzhaften Druckstellen und fortschreitendem Kieferknochenabbau führen. Mit zunehmendem Kieferabbau kann ein sicherer Halt der Prothese nicht mehr gewährleistet werden. Im Extremfall kann die Prothese sogar auf den Unterkiefernerven drücken und somit Schmerzen beim Kauen verursachen.
Einer konventionellen Totalprothese stehen herausnehmbare, implantatgetragene Versorgungen gegenüber.
Druckknopfsysteme

Zu diesen Befestigungselementen zählen Kugelkopfaufbauten (erste Abbildung) und Lokatoren (zweite Abbildung). Diese Retentionselemente sind fest in die Implantate eingeschraubt. Der Halt des Zahnersatzes wird durch diese Retentionselemente gewährleistet, kann sich allerdings in Funktion beim Kauvorgang lösen. Diese Art des herausnehmbaren Zahnersatzes ist die einfachste Versorgung auf Implantaten. Die hier zum Einsatz kommenden Retentionselemente können den Zahnersatz in Funktion nicht gleichwertig in Position halten wie die folgenden Versorgungsarten.
Stegversorgung

Eine Stegversorgung ist zahntechnisch wesentlich aufwändiger und deshalb kostenintensiver. Die erste Abbildung zeigt einen Steg, der fest auf vier Implantaten verschraubt ist. Durch diesen findet der herausnehmbare Zahnersatz (zweite Abbildung) seinen Halt. Ein Abbeißen mit den Frontzähnen ist durch diese Versorgungsart sehr gut möglich. Der Halt des Zahnersatzes ist in Funktion zu jeder Zeit gewährleistet. Eine gaumenfreie Gestaltung des Zahnersatzes im Oberkiefer erleichtert die Lautbildung und schränkt die Geschmacksempfindung nicht ein.
Teleskopversorgung / Doppelkronensystem

Diese Versorgungsmöglichkeit ist zahntechnisch sehr anspruchsvoll und deshalb kostenintensiver. Die erste Abbildung zeigt vier Teleskope die jeweils auf einem Implantat aufgeschraubt sind. Die zweite Abbildung zeigt einen entsprechenden Zahnersatz, der sich vom Design nicht von den vorherigen unterscheidet. Ein Abbeißen mit den Frontzähnen ist unproblematisch, und eine gaumenfreie Gestaltung im Oberkiefer schränkt die Lautbildung und Geschmacksempfindung nicht ein. Der Halt des Zahnersatzes ist in Funktion zu jeder Zeit gewährleistet.
Bei drohender oder vorhandener Zahnlosigkeit bietet das All-on-4 Konzept eine festsitzende Alternative zu den herausnehmbaren Versorgungen. Während bei den zuvor genannten Therapieoptionen die Behandlungsdauer mehrere Monate beträgt, bietet das All-on-4 Konzept einen festsitzenden Zahnersatz über Nacht, unter Vermeidung großer Knochenaufbauten.
All-on-4 Konzept
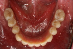
Beim All-on-4 Konzept sind sowohl im Ober- als auch im Unterkiefer lediglich vier Implantate notwendig. Die erste Abbildung zeigt einen Unterkiefer mit vier Implantaten. Auf diesen ist der Zahnersatz fest verschraubt (zweite Abbildung). Durch die geringere Anzahl benötigter Implantate sind die Kosten für solch eine Versorgung geringer als bei konventionellen festsitzenden Versorgungen. Durch eine konvexe Gestaltung der Basis des Zahnersatzes ist die Möglichkeit zur Hygiene vereinfacht und vergleichbar mit einer herausnehmbaren Stegversorgung. Bei Notwendigkeit, z.B. bei Reparaturen, kann dieser Zahnersatz durch den Zahnarzt leicht abgenommen werden.
Dieses Vorgehen erfordert höchste chirurgische Kompetenz und eine optimale logistische Zusammenarbeit zwischen Chirurg, Zahnarzt und Zahntechnikern. Diese Versorgungsmöglichkeit ist seit vielen Jahren Routinetherapie in unserem klinischen Behandlungsspektrum. Vielen Patienten konnten wir dadurch in kurzer Zeit helfen.
Gerne können wir Sie in einem Aufklärungsgespräch individuell über Ihre Situation aufklären. Dies bietet uns die Möglichkeit, in Ruhe auf Ihre Wünsche und Vorstellungen einzugehen. Therapieoptionen sowie Alternativen können wir erläutern und an Beispielen darstellen. Dies wird Ihnen das Verständnis für eine mögliche Behandlung erleichtern.
Unsere Praxis hat sich auf die Sofortversorgung von Implantaten spezialisiert. In einem persönlichen Beratungsgespräch können wir gerne näher auf Ihre Fragen eingehen.


