Festsitzender Zahnersatz
Versorgung von Einzelzahnlücken durch Einzelimplantate

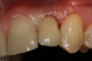
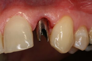
Hier wurde der fehlende seitliche Schneidezahn im linken Oberkiefer durch ein Implantat ersetzt. Auf der ersten Abbildung ist ein Titanaufbau, der fest mit dem Implantat verschraubt ist, zu sehen. Auf der zweiten Abbildung ist die Krone auf dem Titanaufbau fixiert. Das eigentliche Implantat ist mit dem Knochen fest verwachsen, durch Schleimhaut bedeckt und deshalb nicht zu sehen. Das Ergebnis ist wieder ein schöner fester Zahn.
Versorgung einer größeren Schaltlücke

Auf der ersten Abbildung sind zwei fehlende Backenzähne durch zwei Implantate ersetzt. Zu erkennen sind lediglich die Einheilkappen auf den Implantaten (grüne Pfeile), die während der Heilungsphase das Zahnfleisch ausformen. Der endständige große Backenzahn ist durch eine provisorische Krone temporär versorgt (blauer Pfeil). Auf der zweiten Abbildung sind die definitiven Keramikkronen (grüne Pfeile) auf den Implantaten fest fixiert. Der endständige Zahn ist ebenfalls mit einer definitiven Krone versorgt (blauer Pfeil). Die Keramikkronen auf den Implantaten erscheinen natürlich und ersetzen die verlorenen gegangenen Zähne voll in ihrer Funktion. Ein normales Kauen ist wieder möglich.
Versorgung von Freiendsituationen (Vermeidung eines herausnehmbaren Zahnersatzes)

Diese Abbildungen zeigen die Versorgung einer Freiendsituation durch Implantate. Es fehlen drei Backenzähne, deren Verlust massiv die Kaufunktion auf dieser Seite einschränkte. Hinter diesen Backenzähnen ist kein weiterer Zahn mehr vorhanden, an dem eine Brücke oder eine Prothese befestigt werden könnte. Die fehlenden drei Zähne wurden durch zwei Implantate ersetzt. Auf der ersten Abbildung sieht man die beiden Titanaufbauten (grüne Pfeile) auf den beiden Implantaten. Auf der zweiten Abbildung sind die Implantate mit einer Brücke, bestehend aus zwei Kronen (grüne Pfeile) und einem Brückenglied (blauer Pfeil), versorgt. Durch dieses Vorgehen konnte ein herausnehmbarer Zahnersatz mit einer Gaumenbedeckung vermieden werden und ein normales Kauen mit festen Zähnen war wieder möglich.
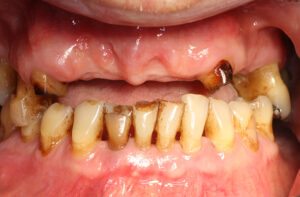
Versorgung bei drohender oder vorhandener Zahnlosigkeit

Die erste Abbildung zeigt die Situation eines Patienten mit drohender Zahnlosigkeit im Oberkiefer. Die wenigen Restzähne waren nicht erhaltungsfähig. Die zweite Abbildung ist die Situation einen Tag später. In einem Eingriff wurden die restlichen Zähne im Oberkiefer entfernt und vier Implantate eingesetzt. Am Folgetag wurde auf diesen vier Implantaten ein festsitzender Zahnersatz eingegliedert. Ein fester Biss mit festen Zähnen ist somit wieder möglich. Dieses Vorgehen erhöht über Nacht deutlich die Lebensqualität.

Der Zahnersatz ist auf diesen vier Implantaten fest verschraubt und bedeckt den Gaumen nicht. Auf der Abbildung sind die Schraubenkanäle (grüne Pfeile) zu erkennen, die später mit weißem Kunststoff aufgefüllt wurden und nicht mehr auffällig sind. Die Verschraubung ermöglicht es dem Zahnarzt, die Brücke zu jeder Zeit herunter zu nehmen, falls dies nötig sein sollte.
Das All-on-4 Konzept
Bei drohender oder vorhandener Zahnlosigkeit ermöglicht das All-on-4 Konzept unter Vermeidung großer Knochenaufbauten einen festsitzenden Zahnersatz über Nacht.
Während bei konventionellen festsitzenden Versorgungen aufwändige Knochenaufbauten meist unumgänglich sind, 6–8 Implantate benötigt werden und der Behandlungszeitraum bei 9–12 Monaten liegt, ist beim All-on-4 Konzept der operative Aufwand und der Behandlungszeitraum auf ein Minimum reduziert. Selbst bei sehr geringem Knochenangebot ist dieses Vorgehen unter Vermeidung aufwändiger Knochenaufbauten möglich.
Beim All-on-4 Konzept sind sowohl im Ober- als auch im Unterkiefer lediglich 4 Implantate notwendig. Der Zahnersatz ist bei diesem Konzept mit den Implantaten fest verschraubt. Durch die geringere Anzahl benötigter Implantate sind die Kosten für solch eine Versorgung geringer als bei konventionellen festsitzenden Versorgungen.
Durch eine konvexe Gestaltung der Basis des Zahnersatzes ist die Möglichkeit zur Hygiene vereinfacht und vergleichbar mit einem herausnehmbaren Zahnersatz auf Implantaten. Bei Bedarf kann dieser Zahnersatz, zum Beispiel für Reparaturen oder für Anpassungsmaßnahmen, durch den Zahnarzt leicht abgenommen werden.
Dieses Vorgehen erfordert höchste chirurgische Kompetenz und eine optimale logistische Zusammenarbeit zwischen Chirurg, Zahnarzt und Zahntechnikern. Diese Versorgungsmöglichkeit ist seit vielen Jahren Routinetherapie in unserem klinischen Behandlungsspektrum. Vielen Patienten konnten wir dadurch in kurzer Zeit helfen.
Alle Informationen zu All-on-4 erhalten Sie hier: ALL-ON-4
Unsere Praxis hat sich auf die Sofortversorgung von Implantaten spezialisiert. In einem persönlichen Beratungsgespräch können wir gerne näher auf Ihre Fragen eingehen.
